Home
About
Procedures
Body
Abdominoplasty
Arm Lift
Fat Transfer (Body)
Gynecomastia
Liposuction
Mini Tummy Tuck
Mommy Makeover
Breast
Breast Augmentation
Breast Implant Exchange
Breast Lift
Fat Transfer (Breast)
Breast Reconstruction
Breast Reduction
Face/Neck/Head
Brow Lift
Chin Augmentation
Facelift
Mini Facelift
Neck Lift
Otoplasty
Upper and Lower Eyelid Surgery
Injectables
Belotero Balance®
BOTOX® / XEOMIN®
Juvederm®
Perlane
Radiesse®
Restylane®
Rhinoplasty
Cosmetic Rhinoplasty
Functional Rhinoplasty
Revision Rhinoplasty
Skin
Dermabrasion
ZO® Skin Health
Photo Gallery
Patient Resources
Testimonials
Specials
Blog
Contact
Map & Directions
Schedule A Consultation
Hurvitz Plastic Surgery
(562) 595-6543
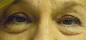
Blepharoplasty Photos - Case #1302
Gallery Home
>
Face Procedures
>
Blepharoplasty
> Case #1302
Previous Blepharoplasty Case
Next Blepharoplasty Case
Patient Case #1302
Before
After
Before
After
Previous Blepharoplasty Case
Next Blepharoplasty Case
Contact Us
I agree to the
terms of use
Δ